Để tránh những thiếu sót của các vật liệu làm từ kim loại thông thường và để tạo ra các phục hình răng trông tự nhiên, lithium disilicate đã trở thành vật liệu được các nha sĩ lựa chọn trong những năm gần đây. Trong một hội thảo trên web miễn phí vào ngày 27 tháng 1, một chuyên gia xuất sắc trong lĩnh vực này sẽ cung cấp một cái nhìn tổng quan toàn diện về việc sử dụng đa chức năng của lithium disilicate. Khóa học nhắm mục tiêu đến người dùng CEREC và những người tập trung vào điều trị bên ghế nói riêng.
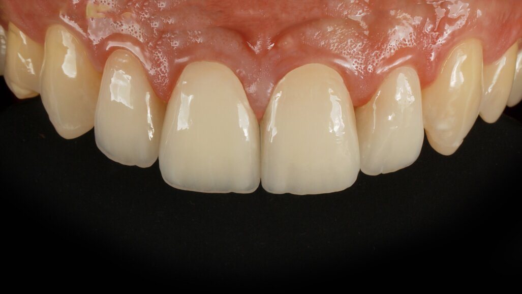
Lithium disilicate đã mở đường cho mão và cầu răng nguyên khối không phủ veneer nhờ những ưu điểm của nó trong kết quả lâm sàng và tính chất thẩm mỹ và loại bỏ nguy cơ gãy veneer. Trong quá khứ, gốm sứ lithium disilicate yêu cầu nung kết tinh trong lò sau khi mài phục hồi. Điều này giải phóng màu răng cuối cùng của mão và tăng độ bền uốn. Do độ bền cao, mão sứ đã được chứng minh là một giải pháp thay thế thực sự cho mão sứ-hợp nhất-kim loại.
Lithium disilicat không kết tinh
Giờ đây, một loại gốm lithium disilicate mới dành cho mão và cầu răng không có veneer đã trở nên sẵn có, có dạng khối hoàn toàn được kết tinh trước. Do đó, thời gian cần thiết để nung kết tinh có thể được tiết kiệm. Phần mềm phay không phải bù cho sự co ngót do kết tinh gây ra. Các cạnh mỏng vẫn rất chính xác và không dễ bị làm tròn, ngược lại khi nung kết tinh. Nếu muốn có thêm đặc điểm về màu sắc, có thể sử dụng các vết bẩn cho các dung dịch thẩm mỹ. Để hoàn thành việc phục hồi, chỉ cần đánh bóng đơn giản với máy đánh bóng silicone là đủ.
Phối hợp với GC Europe, Tiến sĩ Andreas Kurbad, một chuyên gia tư nhân từ Viersen ở Đức, người đã sử dụng CEREC từ năm 1994 và là cố vấn cho người dùng CAD / CAM trong hơn mười năm, sẽ tổ chức hội thảo trên web miễn phí về vật liệu mới, trong đó ông sẽ nói rõ hơn về những ưu điểm của lithium disilicate mà không bị kết tinh trong phòng nha. Hội thảo trên web sẽ diễn ra vào ngày 27 tháng 1 từ 7 giờ tối. đến 8 giờ tối (CET). Những người tham gia sẽ có cơ hội nhận được hai tín chỉ đào tạo thường xuyên. Đăng ký vẫn đang mở tại www.cerec.de.
GC, nhà sản xuất vật liệu nha khoa nổi tiếng thế giới, cam kết cung cấp cho các chuyên gia nha khoa nguồn tài nguyên giáo dục ...
HONOLULU, US: Vào ngày 7 và 8 tháng 7, Viện Nha khoa Phục hồi và Thẩm mỹ sẽ tổ chức Hội nghị chuyên đề quốc tế hàng năm ...
BERLIN, Đức: Nhà xuất bản Quintessence Deutschland đang mời các chuyên gia nha khoa mong muốn đóng góp cho các nỗ lực nhân đạo ...
PHILADELPHIA, Hoa Kỳ: Một nhóm nghiên cứu từ Đại học Pennsylvania đã phát hiện ra rằng, trong vòng vài giờ sau khi phát triển, ...
NEW YORK, US: Henry Schein là một trong những nhà phân phối các sản phẩm nha khoa và y tế lớn nhất thế giới, và quy mô kinh doanh...
AMMAN, Jordan: Thẩm mỹ răng miệng và khuôn mặt không chỉ định hình nụ cười; theo một nghiên cứu mới trên sinh viên nha khoa,...
SENDAI, Nhật Bản: Các nhà nghiên cứu đã phát hiện ra rằng nướu mềm cản trở sự phát triển của nguyên bào sợi nướu. ...
COLOGNE, Đức: Tương lai của ngành nha khoa bắt đầu từ những chuyên gia lành nghề đang hoàn thành khóa đào tạo của mình ngày...
GENEVA, Thụy Sĩ: Phục hồi răng thường dựa vào vật liệu tổng hợp nhựa CAD/CAM để đảm bảo độ chính xác và độ tin ...
Nhân dịp Global Osseointegration Day vào ngày 3 tháng 5, một hội thảo trực tuyến sắp diễn ra do Brånemark Academy tổ chức sẽ ...
Hội thảo trên web trực tiếp
T5. 4 Tháng 6 2026
12:00 AM VST (Vietnam)
Hội thảo trên web trực tiếp
T6. 5 Tháng 6 2026
1:00 AM VST (Vietnam)
Hội thảo trên web trực tiếp
T2. 8 Tháng 6 2026
11:00 PM VST (Vietnam)
Hội thảo trên web trực tiếp
T3. 9 Tháng 6 2026
12:00 AM VST (Vietnam)
Dr. Anthony Mak B.D.S, Prof. Marleen Peumans
Hội thảo trên web trực tiếp
T3. 9 Tháng 6 2026
1:00 AM VST (Vietnam)
Hội thảo trên web trực tiếp
T4. 10 Tháng 6 2026
10:00 PM VST (Vietnam)
Hội thảo trên web trực tiếp
T5. 11 Tháng 6 2026
1:00 AM VST (Vietnam)
Nacho Fernández-Baca DDS, MSc
To post a reply please login or register