Trong quá trình liên kết đối với phục hình nha khoa cố định không có kim loại (FDP), cần thử với bóng xi măng cụ thể phù hợp với hồ dán glycerine để chọn bóng xi măng gốc nhựa chính xác. Tuy nhiên, trong quá trình thử, nước bọt và máu có thể làm nhiễm bẩn bề mặt liên kết của mô cứng răng và sứ. Điều cần thiết là bề mặt sứ và bề mặt mô cứng nha khoa không có màng sinh học vi khuẩn và các chất gây ô nhiễm khác trước khi dán keo. Quy trình liên kết và quy trình thử, đều đảm bảo sự kết dính hiệu quả và độ tin cậy lâu dài của can thiệp phục hình cố định bằng chất kết dính.
Làm sạch bề mặt liên kết gốm sau khi thử
Thử FDP không chứa kim loại là một quy trình quan trọng để đánh giá độ vừa khít của dây chuyền hoàn thiện của quá trình chuẩn bị nha khoa và, đối với các veneers rất mỏng, để khớp với xi măng gốc nhựa được sử dụng để kết dính các phục hình sứ với răng cứng. khăn giấy. Tính năng thẩm mỹ — cụ thể là giá trị — của ván mỏng phụ thuộc vào các yếu tố khác nhau, và một trong những điều quan trọng nhất là lựa chọn độ bóng của xi măng gốc nhựa được sử dụng dưới lớp gốm mỏng. Để làm cho quy trình này dễ dàng hơn và có thể lặp lại, nhiều nhà sản xuất cung cấp bột nhão glycerine có cùng màu với màu của xi măng gốc nhựa tương ứng. Quy trình thử liên kết trước các FDP không chứa kim loại này cho phép lựa chọn loại xi măng gốc nhựa thích hợp nhất. Bột nhão glycerine thường ưa nước và có thể được rửa sạch khỏi bề mặt liên kết gốm sau khi thử bằng vòi phun nước - không khí, nhưng một số chất gây ô nhiễm, chẳng hạn như nước bọt, máu và dịch mô, có thể vẫn còn trên bề mặt và điều này có thể ảnh hưởng đến hiệu quả của liên kết với mô cứng nha khoa.
Cleaning metal-free fixed dental restorations prior to bonding procedures_Fig.1
Cleaning metal-free fixed dental restorations prior to bonding procedures_Fig.2
Cleaning metal-free fixed dental restorations prior to bonding procedures_Fig.3
Cleaning metal-free fixed dental restorations prior to bonding procedures_Fig.4
Cleaning metal-free fixed dental restorations prior to bonding procedures_Fig.5
Phun cát các bề mặt bị ô nhiễm của FDP không chứa kim loại có thể là lựa chọn tốt nhất để loại bỏ các chất ô nhiễm khỏi bề mặt liên kết, nhưng điều quan trọng cần lưu ý là không phải tất cả các nha sĩ đều có thiết bị phun cát trong văn phòng của họ. Để đạt được mục tiêu này, Kuraray Noritake Dental đã cho ra mắt KATANA Cleaner, một chất tẩy rửa cụ thể có khả năng loại bỏ hoàn toàn các chất gây ô nhiễm khỏi bề mặt liên kết của FDP không có kim loại sau quy trình thử. Bề mặt liên kết gốm hoàn toàn sạch sẽ rất quan trọng để có được sự liên kết vi cơ học hiệu quả giữa gốm thủy tinh và xi măng, cũng như cho phép phản ứng liên kết hóa học giữa sơn lót gốc 10-MDP và bề mặt liên kết zirconia.
“Điều cần thiết là bề mặt sứ và bề mặt mô cứng nha khoa không có màng sinh học vi khuẩn và các chất gây ô nhiễm khác”
Không nên làm sạch bề mặt liên kết mô cứng nha khoa khi phun cát
Bề mặt liên kết mô cứng nha khoa phải sạch trước khi dán các FDP không chứa kim loại, và quy trình này có thể được thực hiện bằng cách phun cát với một loại bột mềm như erythritol. Trọng tâm của quy trình này không phải là tạo ra chất phụ gia lưu lại trên bề mặt sứ, mà thay vào đó là loại bỏ màng sinh học vi khuẩn khỏi bề mặt mô cứng nha khoa trước khi kết dính. FDP không có kim loại được thiết kế để có các đường hoàn thiện siêu bền. Việc chuẩn bị siêu sinh cũng rất quan trọng để cho phép cách ly hoàn hảo với một đập nha khoa. Trong thực hành lâm sàng, đường hoàn thiện có thể là (một phần) dưới răng vì những lý do cụ thể, ví dụ như trong quá trình chuẩn bị veneer được thiết kế để đóng các mặt trước và hình tam giác đen cổ tử cung giữa các răng trước. Trong những trường hợp lâm sàng đó, việc đắp đập nha khoa có thể khó khăn, và việc thổi cát mô cứng nha khoa có thể gây ra nguy cơ chảy máu mô nha chu quá cao. Chảy máu mô gần rìa cổ tử cung của quá trình chuẩn bị trước khi thực hiện các thủ thuật kết dính đối với FDP không có kim loại có thể ảnh hưởng đến lớp đệm giữa phục hồi và chuẩn bị. Các tình huống lâm sàng này cho thấy việc sử dụng các chất làm sạch thay vì phun cát để làm sạch bề mặt trước khi dán.
Hạn chế của các tác nhân thông thường dùng để làm sạch bề mặt liên kết
Hầu hết các chất làm sạch thông thường không phải là chất tẩy rửa hiệu quả đối với gốm, bao gồm zirconia, bề mặt của FDP không chứa kim loại và bề mặt mô cứng nha khoa khi phun cát không được chỉ định như đã mô tả. Sau đây là danh sách ngắn gọn về những hạn chế và tác dụng phụ của các chất tẩy rửa chính được sử dụng trong thực hành lâm sàng trước các quy trình liên kết:
- Ethanol: Nó không phải là một chất loại bỏ chất gây ô nhiễm rất hiệu quả và không có khả năng loại bỏ hoàn toàn nước bọt và protein trong máu. Thường thì etanol cố định protein hơn là loại bỏ chúng.
- Natri hypoclorit: Nó có hiệu quả tốt như một chất làm sạch, bao gồm loại bỏ nước bọt và protein trong máu, nhưng có thể có tác động tiêu cực đến các quy trình liên kết do tính chất oxy hóa của nó (các gốc tự do được giải phóng từ phản ứng natri hypoclorit có thể dẫn đến can thiệp vào quá trình tự tạo và ánh sáng polyme hóa các monome nhựa) .1
- Hydrogen peroxide: Nó không có bất kỳ đặc tính loại bỏ chất gây ô nhiễm nào và ở mức độ lớn hơn natri hypoclorit, có thể gây nhiễu với quá trình polyme hóa gốc tự do của các vật liệu dựa trên nhựa được sử dụng cho quy trình kết dính.
- Chlorhexidine: Nó không có bất kỳ tác dụng phụ nào, nhưng cũng không có khả năng loại bỏ các chất gây ô nhiễm.
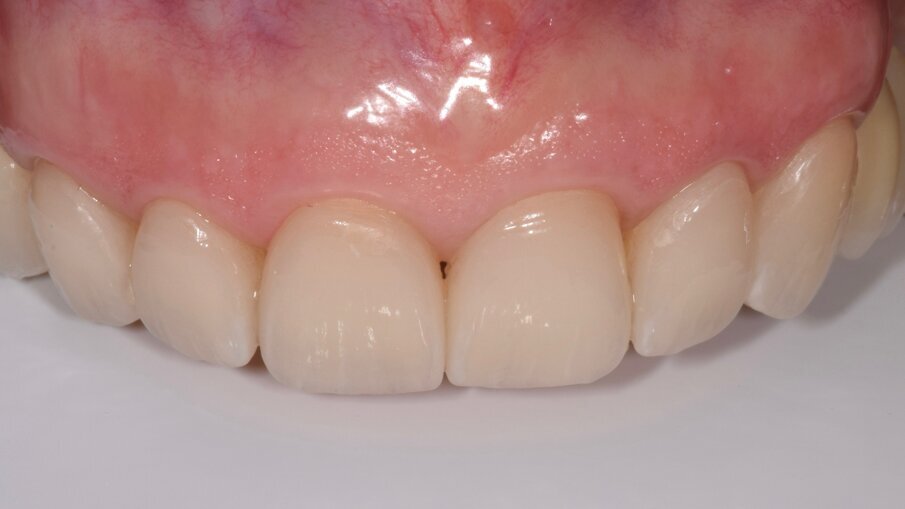
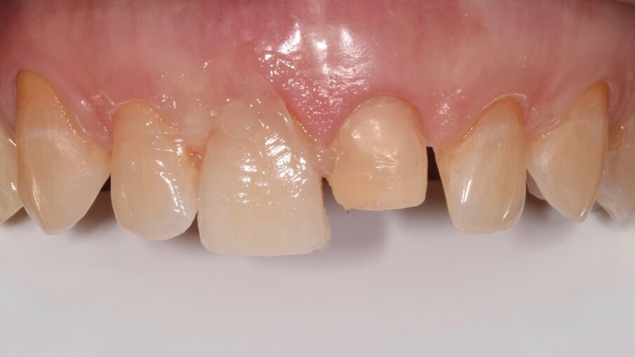
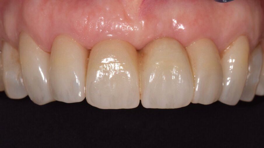
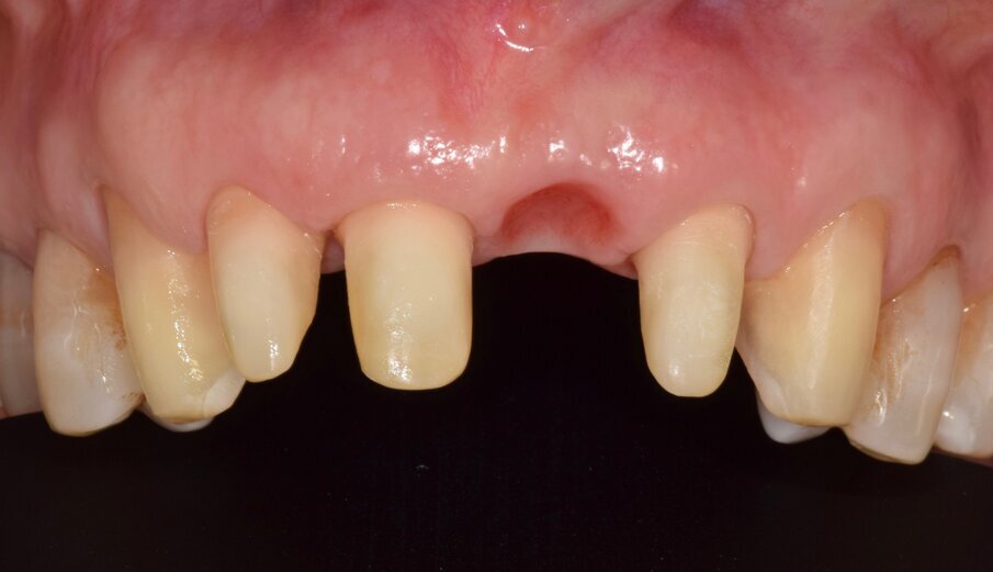
Trường hợp lâm sàng 1: Làm sạch phục hình răng cố định KATANA Zirconia UTML bằng KATANA Cleaner sau khi thử
Fig. 6: KATANA Zirconia UTML fixed dental prostheses.
Fig. 7: Cleaning of the fixed dental prostheses with KATANA Cleaner after the try-in.
Fig. 8: Tooth preparation cleaned with KATANA Cleaner before adhesive application and resin cementation.
Fig. 9: Fixed dental prostheses in situ at the recall appointment.
KATANA Cleaner và các tính năng cụ thể của nó
KATANA Cleaner là dung dịch tẩy rửa chuyên biệt để làm sạch bề mặt của tất cả các loại phục hình, có gốc kim loại hoặc không có kim loại, và để làm sạch bề mặt của mô cứng nha khoa. KATANA Cleaner dùng được cho cả ngoài miệng và trong miệng. Thành phần hóa học của KATANA Cleaner bao gồm 10-MDP và muối 10-MDP-TEA trong dung dịch nước. 10-MDP-TEA là một chất nhũ hóa và hợp chất hoạt động bề mặt có thể hòa tan nhiều chất không hòa tan trong nước và để tăng khả năng thấm ướt của những chất đó. Các tính năng hóa học này của 10-MDP-TEA cho phép loại bỏ các chất gây ô nhiễm khỏi bề mặt dễ dàng hơn bằng cách sử dụng phun nước để có được bề mặt sạch sẽ. KATANA Cleaner chủ yếu nhắm vào các protein, chẳng hạn như trong nước bọt và máu. Muối 10-MDP-TEA là chất amphiphilic. Phần không phân cực đi vào ô nhiễm, tạo thành các mixen, dễ rửa sạch bằng vòi phun nước - không khí.
KATANA Cleaner là một trình dọn dẹp tập trung, mạnh mẽ. Nó có độ pH nhẹ 4,5; do đó, không có sự ăn mòn bất lợi của mô cứng nha khoa có thể xảy ra. Sự hiện diện của 10-MDP trong dung dịch làm cho nó tương thích với tất cả các chất kết dính nha khoa. KATANA Cleaner là một dung dịch có màu tím, và tính năng này cho phép ứng dụng dễ dàng và chính xác lên tất cả các bề mặt cần làm sạch.
Trường hợp lâm sàng 2: Làm sạch bề mặt răng bằng KATANA Cleaner
Fig. 10: Ceramic partial fixed dental prostheses (veneers) before try-in and bonding procedures.
Fig. 11: Cleaning of the dental hard-tissue bonding surfaces in a clinical situation where sandblasting was not recommended owing to the high risk of periodontal soft-tissue bleeding.
Fig. 12: Bonded partial fixed dental prostheses at the recall appointment.
Fig. 13: Perioral aspect of the veneers during smiling.
Sự nhìn nhận
Đặc biệt gửi lời cảm ơn tới kỹ thuật viên nha khoa bậc thầy Daniele Rondoni vì đã chế tạo ra FDP không chứa kim loại.
Thẻ:
PHILADELPHIA, US: Trước đây người ta tin rằng Streptococcus mutans là vi sinh vật chính gây sâu răng. Tuy nhiên, trong một nghiên cứu...
LONDON, Anh: Việc điều trị ung thư đầu và cổ vốn rất phức tạp và chỉ có một vài tiến bộ được thực hiện trong 20 ...
SUITA, Nhật Bản: Tổ chức Y tế Thế giới báo cáo rằng bệnh tim mạch là nguyên nhân gây tử vong hàng đầu trên toàn cầu và ...
SEOUL, Hàn Quốc: Một đánh giá của các nhà nghiên cứu từ Đại học Sungkyunkwan, Hàn Quốc đã gợi ý rằng một số loại hạt...
Indianapolis, Mỹ: Hội chứng Sjögren là một bệnh tự miễn mãn tính có thể ảnh hưởng đến toàn bộ cơ thể bao gồm cả ...
TÂY AN, Trung Quốc: Công nghệ số đang định hình lại việc quản lý tình trạng mất răng bằng cách đơn giản hóa quy trình ...
Pittsburgh, Mỹ: Việc kê các loại thuốc có nguy cơ cao trong nha khoa trẻ em vẫn chưa phổ biến, nhưng khi xảy ra, mang lại những ...
GLASGOW, Vương quốc Anh: Một nghiên cứu tiên phong đang được thực hiện trên cả Dịch vụ Y tế Quốc gia (NHS) và các cơ sở ...
COLOGNE, Đức: Tại Triển lãm Nha khoa Quốc tế (IDS) lần thứ 39 vào tháng 9, nhà sản xuất Graphy của Hàn Quốc đã giới thiệu ...
BRISTOL, UK / BOSTON, US: Độ dày của dấu mọc ở răng sữa có thể giúp xác định trẻ em có nguy cơ bị trầm cảm và các rối ...
Hội thảo trên web trực tiếp
T5. 4 Tháng 6 2026
12:00 AM VST (Vietnam)
Hội thảo trên web trực tiếp
T6. 5 Tháng 6 2026
1:00 AM VST (Vietnam)
Hội thảo trên web trực tiếp
T2. 8 Tháng 6 2026
11:00 PM VST (Vietnam)
Hội thảo trên web trực tiếp
T3. 9 Tháng 6 2026
12:00 AM VST (Vietnam)
Dr. Anthony Mak B.D.S, Prof. Marleen Peumans
Hội thảo trên web trực tiếp
T3. 9 Tháng 6 2026
1:00 AM VST (Vietnam)
Hội thảo trên web trực tiếp
T4. 10 Tháng 6 2026
10:00 PM VST (Vietnam)
Hội thảo trên web trực tiếp
T5. 11 Tháng 6 2026
1:00 AM VST (Vietnam)
Nacho Fernández-Baca DDS, MSc
To post a reply please login or register