Du hành thời gian — hai từ nghe có vẻ kỳ quặc trong một bài báo về nha khoa, nhưng lại là thực tế hàng ngày đối với tất cả các chuyên gia y tế. Lão hóa là mối quan tâm của tất cả những bệnh nhân khi thấy cơ thể mình xuống cấp và mong muốn quay ngược thời gian để lấy lại tuổi thanh xuân đã mất. Điều này càng đúng trong nha khoa, nơi mà các nha sĩ thường được gọi đến để điều trị cho những bệnh nhân mắc các bệnh lý có khả năng phá hủy theo thời gian như sâu, mòn răng và nha chu.
Bệnh nhân thường mong muốn lấy lại nụ cười ban đầu, những nụ cười này đã dần bị thay đổi theo thời gian và các biến cố cuộc sống. Sau đó, chuyên gia chăm sóc sức khỏe phải chứng minh sự khéo léo về kỹ thuật và y tế để khôi phục tình trạng ban đầu bằng cách khôi phục hình dạng, màu sắc và vị trí ban đầu của cấu trúc miệng. Trong bài viết này, chúng tôi sẽ đảo ngược thời gian để mô tả một trường hợp lâm sàng lùi lại và chỉ ra rằng thành công trong điều trị đạt được khi kết quả cuối cùng trở thành một khởi đầu mới cho bệnh nhân.
Báo cáo trường hợp
Hình 1 cho thấy một tình trạng lâm sàng mà bệnh nhân sẽ có thể mỉm cười theo nghĩa đen và nghĩa bóng. Các răng có hình dạng, vị trí và độ bóng đều hài hòa, mặc dù có những khiếm khuyết nhỏ như tổn thương cổ chân răng cửa hàm dưới. Cũng có sức khỏe nha chu tốt, không có mảng bám hay viêm nướu. Điều độc giả không khỏi nghi ngờ là tình huống cuối cùng này tương ứng với việc đặt bốn mão trên răng số 12–22.
Hình 2 cho chúng ta thấy cận cảnh chất lượng của các phục hình và sự chăm sóc của kỹ thuật viên nha khoa trong quá trình sản xuất các mão này. Quả thực, giải phẫu hài hòa và không để lại hình tam giác đen ở nhú lợi. Ngoài ra, bóng râm là tự nhiên, với độ bão hòa tăng dần từ rìa răng đến vùng cổ răng. Kỹ thuật viên phòng thí nghiệm đã thêm một chút vết màu đất son tinh tế theo các đường thẳng đứng. Trường hợp lâm sàng này đặc biệt chú ý đến kết quả vượt quá mong đợi của bệnh nhân.
“Bệnh nhân thường mong muốn lấy lại nụ cười ban đầu, nụ cười đã dần bị thay đổi theo thời gian và các biến cố trong cuộc sống”
Được chụp ba ngày trước đó, Hình 3–5 cho thấy sự làm tổ, sử dụng phần mềm Zirkonzahn.Nesting (Zirkonzahn), của một đĩa zirconia đa sắc (Prettau 4 Anterior Dispersive, Zirkonzahn). Vật liệu này được sử dụng cho các mão này nhằm mang lại tuổi thọ đáng kể nhờ khả năng chống uốn cong và mang lại tính thẩm mỹ tốt rõ ràng với độ trong mờ cao.
Sự lựa chọn vật liệu này là cơ bản trong chỉ định này, phục hình trước khi tìm kiếm một chất thay thế cho lithium disilicate. Người đọc sẽ phải đợi quay ngược thời gian để hiểu được phương án thay thế này.
Fig. 3: Nesting of the zirconia crowns, upper view.
Fig. 4: Nesting of the zirconia crowns, lateral view.
Fig. 5: Milling bur path in the zirconia disc.
Fig. 6: Digital wax-up of the crowns.
Fig. 7: Digital models of the maxillary and mandibular arches.
Được chụp bốn ngày trước đó, Hình 6 cho thấy quá trình quét sáp kỹ thuật số được thực hiện trong phần mềm Zirkonzahn.Modellier (Zirkonzahn). Đối với kỹ thuật viên nha khoa, khó khăn chính là phải xem xét lại giải phẫu của răng cửa hàm trên trong khi khôi phục lại hình dạng ban đầu của răng. Hình dạng tổng thể của các răng khác cho ta cái nhìn tổng thể về kiểu hình học của răng: tròn, vuông, tam giác.
Tất cả các hình thức đều có thể thực hiện được, nhưng chỉ có một hình thức phù hợp cho trường hợp lâm sàng này. Phần mềm CAD / CAM cho phép hướng dẫn tự động để có được hình dạng hài hòa. Sau đó, kỹ thuật viên phòng thí nghiệm sẽ kiểm soát và tiến hành từng cá nhân để đưa các chạm của con người vào hệ thống máy tính.
Được chụp năm ngày trước đó, Hình 7 cho thấy mô hình ảo sau bước quét kỹ thuật số (Zirkonzahn. Scan, Zirkonzahn). Phần mềm giúp bạn có thể số hóa các mô hình vật lý để nhập chúng vào bộ phần mềm. Các mô hình kỹ thuật số sau đó được gắn vào khớp nối trên một khớp nối ảo. Các ranh giới chuẩn bị được vẽ ra, và nhờ việc cắt tỉa trước đó, mỗi răng đã chuẩn bị có thể được cá nhân hóa để chuyển sang bước tạo mẫu mão tiếp theo.
Được chụp trước đó một tuần, Hình 8 và Hình 9 cho thấy quá trình chuẩn bị nha khoa và vị trí đặt dây rút nướu đầu tiên. Hình thức chuẩn bị còn lại đủ lề để kỹ thuật viên thiết kế mão răng. Dây rút nướu được đặt trong giai đoạn chuẩn bị để tránh làm tổn thương nướu cổ tử cung và di chuyển nó theo ý muốn. Do đó, có thể đạt được giới hạn cạnh-nướu tôn trọng giải phẫu răng và sức khỏe nha chu. Điều thú vị cần lưu ý là bóng răng không đồng nhất giữa các răng và trong bản thân răng. Chúng ta sẽ quay ngược thời gian để tìm hiểu hiện tượng này.
Được chụp trước đó 1 giờ, Hình 10 cho thấy sự chắp vá thực sự của các sắc thái trên răng. Có sự trong suốt của mép răng cưa, độ bão hòa của cổ răng, vết nứt, sự phục hình bị mất và gãy vành phức tạp của răng số 11. Tất cả những yếu tố này đã khiến răng phản ứng bằng cách tạo ra lớp nhựa thông phản ứng theo thời gian, và đó là nguồn gốc của một số khác biệt về bóng râm.
Fig. 8: Tooth preparation and retraction cord placement.
Fig. 9: Close-up of the tooth preparation and retraction cord placement.
Fig. 10: Pre-op tooth shade.
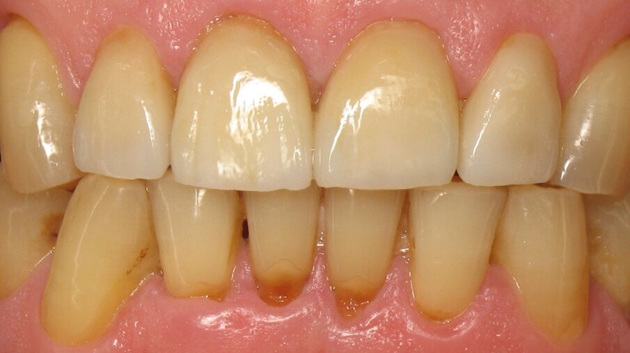
Fig. 11: Initial situation.
Fig. 12: Close-up of the initial situation.
Chụp cùng lúc với hình 10, hình 11 và 12 thể hiện tình trạng ban đầu của bệnh nhân này, đến hội chẩn để phục hình răng cửa hàm trên. Kết quả chẩn đoán cho thấy chứng nghiến răng về đêm là nguồn gốc của một số khu vực phá hủy thân răng: mòn mép răng, mài mòn, mất phần phục hình, vết nứt và gãy vành phức tạp. Dễ hiểu tại sao việc lựa chọn vật liệu lại là zirconia. Cũng dễ hiểu động lực tìm lại nụ cười đã mất của bệnh nhân này. Sự suy thoái này theo thời gian là không thể tránh khỏi, nhưng ở bệnh nhân này, nó diễn ra đặc biệt nhanh và hung hãn. Việc đảo ngược dòng thời gian vì thế đã có tác dụng phục hồi sức khỏe răng miệng cho bệnh nhân này một cách rõ ràng.
Phần kết luận
Người ta không nhất thiết phải sở hữu cỗ máy thời gian hay cửa quay thời gian như trong bộ phim bom tấn Tenet để đảo ngược tác động của thời gian. Các nha sĩ có khả năng tiếp cận với công nghệ đủ tinh vi để điều chỉnh những tác động có hại của thời gian và cho phép bệnh nhân lấy lại nụ cười trước đây.
“[…] Nha khoa hiện đại đã bắt đầu quá trình chuyển đổi kỹ thuật số, trong đó các công cụ mới và kỹ thuật mới đang xuất hiện”
Khác xa với khoa học viễn tưởng, nha khoa hiện đại đã bắt đầu quá trình chuyển đổi kỹ thuật số, trong đó các công cụ mới và kỹ thuật mới đang xuất hiện. Tất cả ước mơ của bệnh nhân chúng tôi là lấy lại nụ cười của tuổi 20: hàm răng khỏe đẹp. Với các công cụ kỹ thuật số hiện tại, giờ đây có thể khôi phục những gì đã bị phá hủy trong quá khứ và mang đến một tương lai mới cho nụ cười của bệnh nhân. Nha khoa kỹ thuật số, do đó, luôn chuyển động theo thời gian và không tạo ra bất kỳ thiệt hại nào, có thể được tóm tắt bằng câu palindrome này: “Sống đúng giờ; không phát ra tà khí ”.
Tiết lộ
Tác giả đã không báo cáo bất kỳ tiết lộ nào.
Nhìn nhận
Tác giả muốn gửi lời cảm ơn đến kỹ thuật viên nha khoa đã được chứng nhận Christophe Pacaud và nhóm của anh ấy tại phòng thí nghiệm ACL Dentaire ở Pháp vì công việc khéo léo của họ.
Thẻ:
KUOPIO, Phần Lan: Một nghiên cứu thí điểm đã đánh giá mức độ chân thực và giá trị giáo dục của một loại tấm khoan ...
AMSTERDAM, Hà Lan: Việc tập trung vào sự xuất sắc trong học thuật đã dẫn đến một hệ thống khoa học khuyến khích các nhà ...
Chicago, Hoa Kỳ: Dữ liệu mới từ Hiệp hội Nội nha Hoa Kỳ (American Association of Endodontists) cho thấy ngày càng nhiều bệnh nhân...
BRISTOL, Vương quốc Anh: Như Dental Tribune International đã báo cáo trước đây, quản lý chất thải chu đáo là một vấn đề ngày...
DUBAI, UAE: Một thỏa thuận mới giữa UCL Consultants—đơn vị tư vấn của University College London (UCL)—và Liberty Dental Clinic tại...
CHICAGO, Hoa Kỳ: Việc ứng dụng rộng rãi các công cụ dựa trên trí tuệ nhân tạo (AI) tại các phòng khám nha khoa ở Hoa Kỳ có...
THƯỢNG HẢI, Trung Quốc: Phiên bản lần thứ ba của Diễn đàn Nha sĩ Trẻ FDI được mong đợi từ lâu được thiết kế nhằm ...
WARDHA, Ấn Độ: Việc sử dụng độc tố botulinum (BT), thường được gọi là Botox, đang ngày càng được ưa chuộng trong lĩnh ...
CHICAGO, Hoa Kỳ: Khoảng 80% chủ sở hữu-nha sĩ ở Hoa Kỳ đã tăng lương cho các trợ lý nha khoa và nhân viên vệ sinh của họ ...
TOKYO, Nhật Bản: Các nhà hóa học Nhật Bản đã phát triển xi măng nha khoa đầu tiên vào năm 1921, và cột mốc quan trọng dẫn ...
Hội thảo trên web trực tiếp
T4. 15 Tháng 4 2026
7:00 AM VST (Vietnam)
Dr. Bruce McFarlane Certified Specialist in Orthodontics Fellow: Royal College of Dentists of Canada Diplomate: American Board of Orthodontics
Hội thảo trên web trực tiếp
T5. 16 Tháng 4 2026
1:00 AM VST (Vietnam)
Hội thảo trên web trực tiếp
T5. 16 Tháng 4 2026
7:00 AM VST (Vietnam)
Linda Hecker MS, BSDH, RDH
Hội thảo trên web trực tiếp
T5. 16 Tháng 4 2026
11:00 PM VST (Vietnam)
Dr. Pär-Olov Östman, Dr. Robert Gottlander DDS
Hội thảo trên web trực tiếp
T6. 17 Tháng 4 2026
11:00 PM VST (Vietnam)
Hội thảo trên web trực tiếp
T7. 18 Tháng 4 2026
12:00 AM VST (Vietnam)
Dr. Stuart Yeaton BDentSc, MOrth
Hội thảo trên web trực tiếp
T3. 21 Tháng 4 2026
12:00 AM VST (Vietnam)
Dr. Alberto Monje DDS, MS, PhD
To post a reply please login or register